Az Artifex Dentis-ről
Fogtechnika Budapest – Precíz munka, tartós eredmény
Az Artifex Dentis fogtechnikai labor Budapesten magas színvonalú, precíz és esztétikus fogpótlásokat készít. Munkánk során a legkorszerűbb anyagokat és technológiákat alkalmazzuk, hogy a fogorvosok és pácienseik számára a lehető legjobb eredményt biztosítsuk. A fogtechnika Budapest területén nem csupán szakma számunkra, hanem szenvedély is – minden egyes munka mögött több évtizedes tapasztalat és elhivatottság áll.
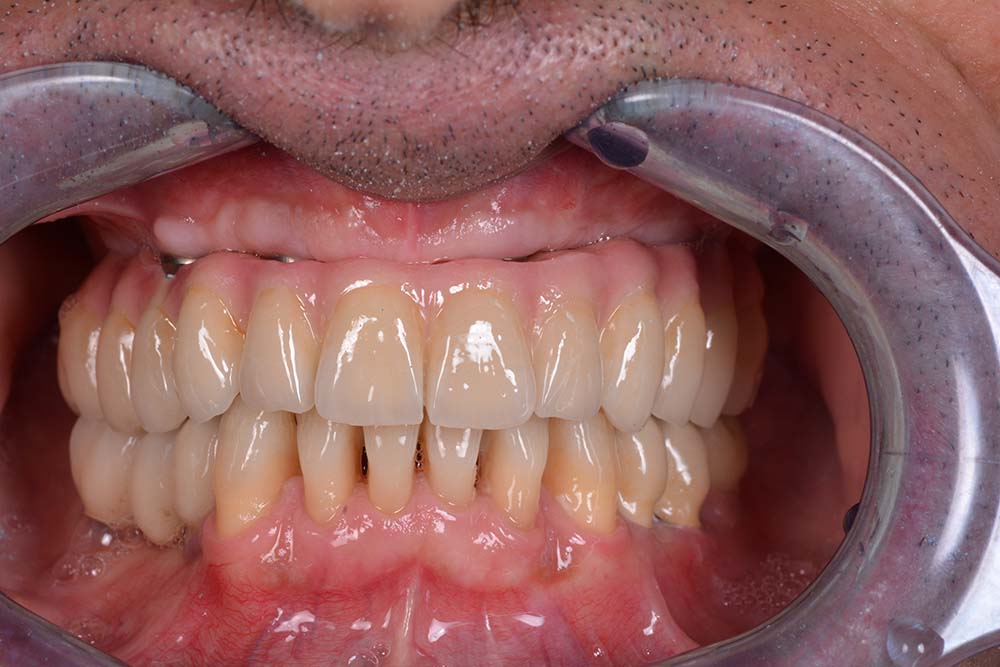
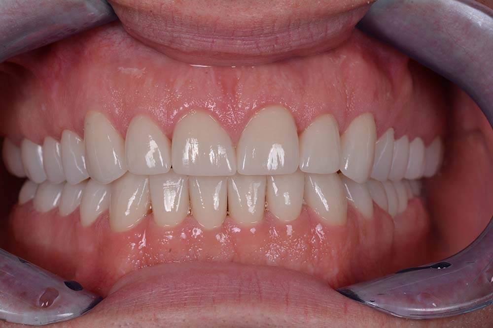
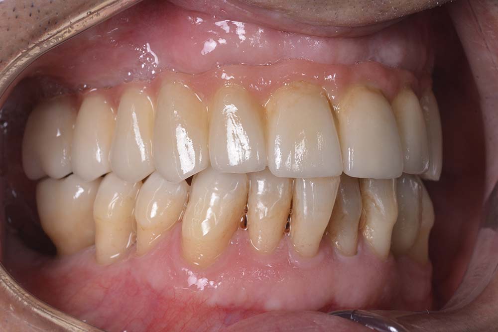
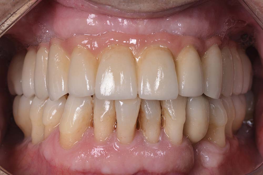
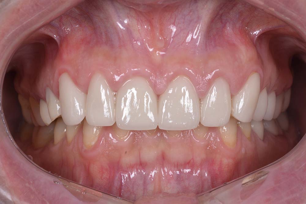
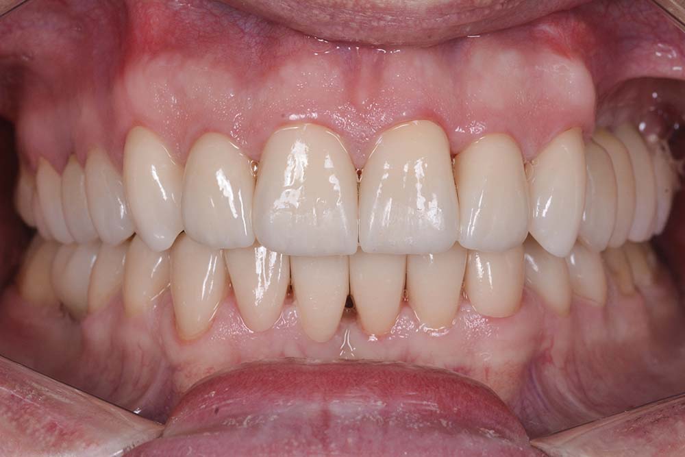
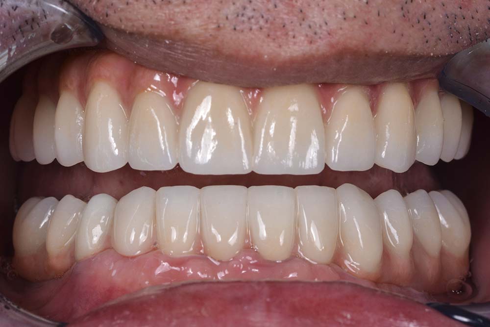
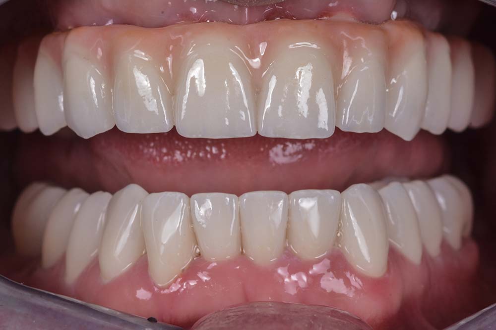
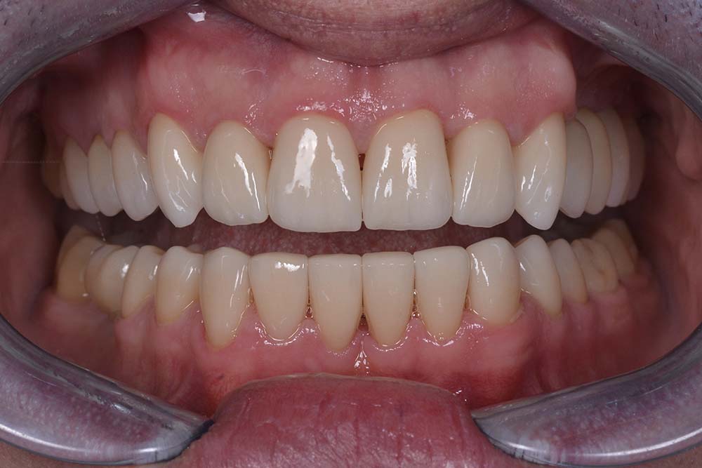
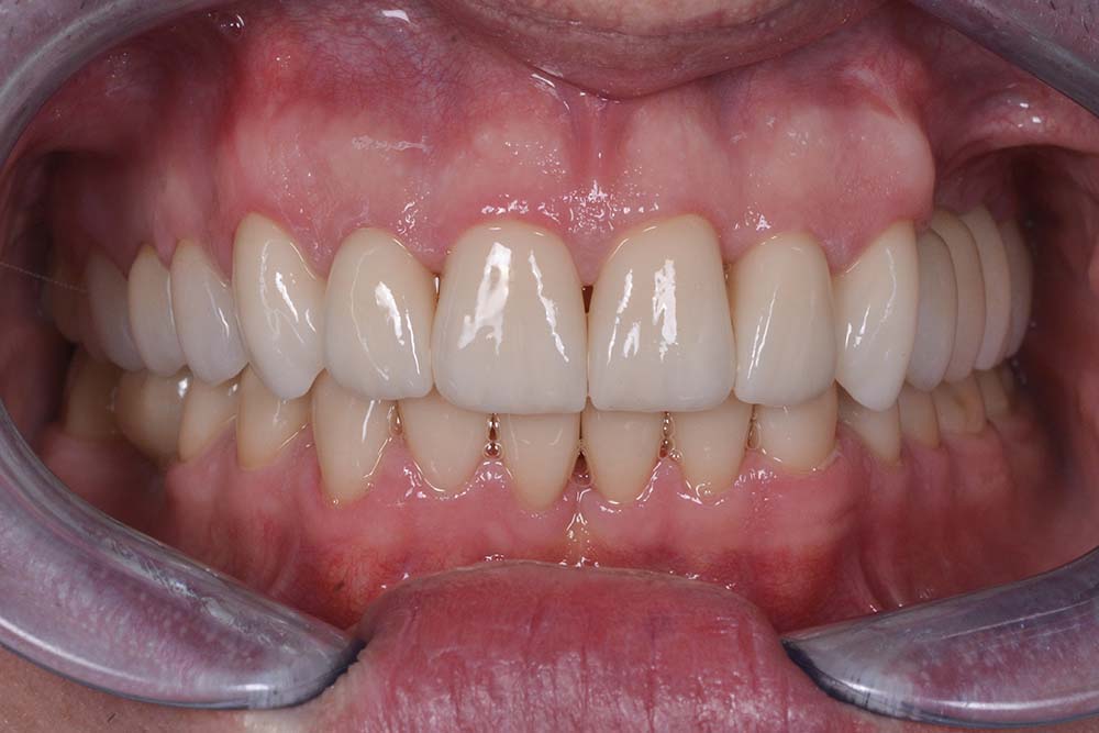
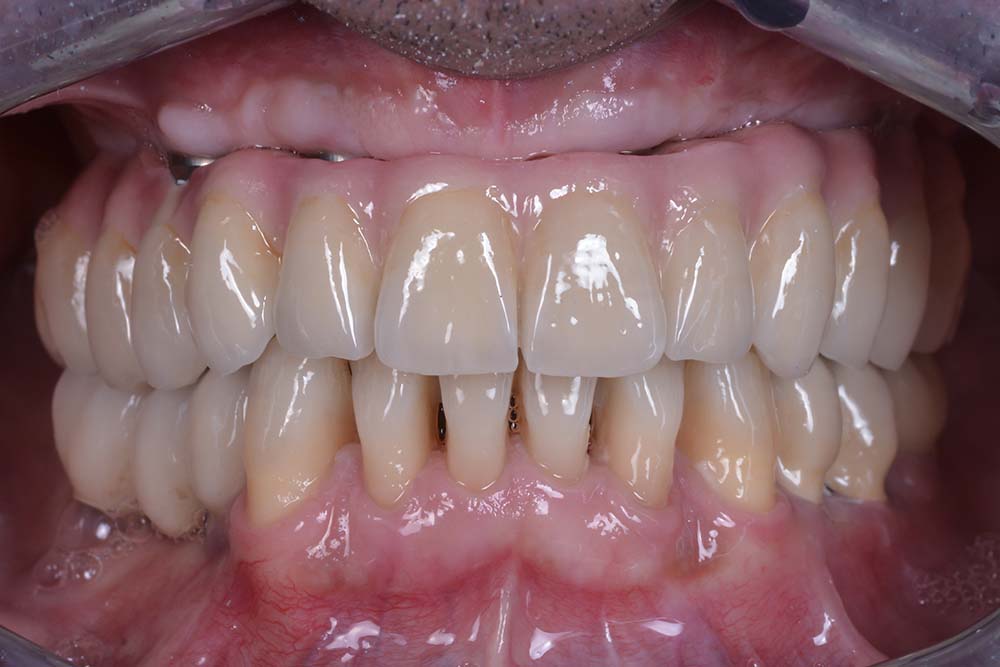
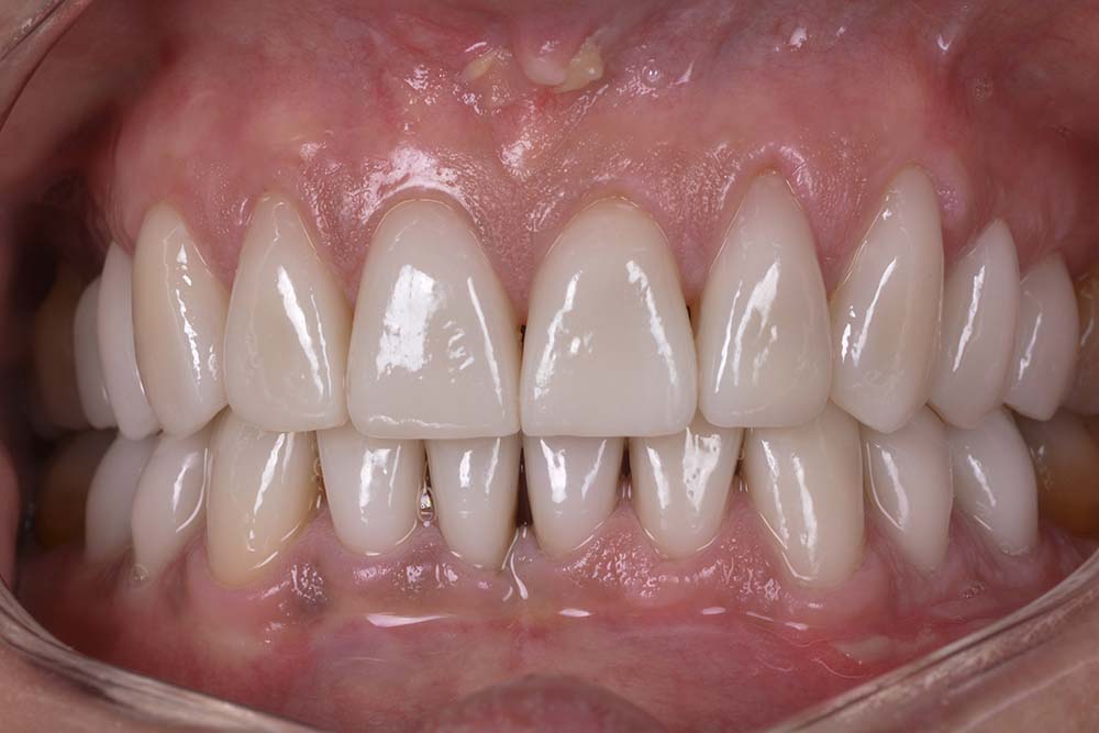
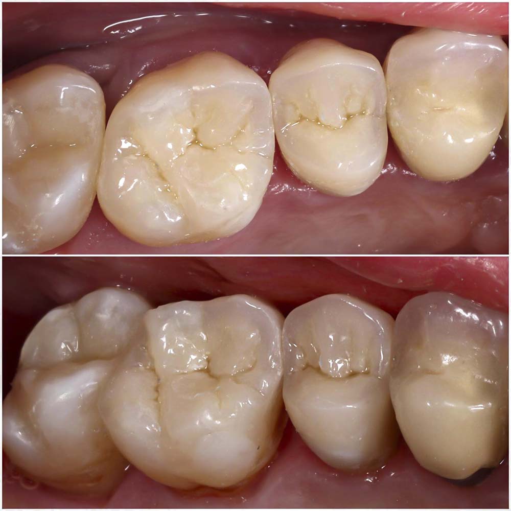
Néhány kép a munkáinkból
Miért válasszon minket?
Budapesti fogtechnikai laborunkban a pontosság, gyorsaság és kommunikáció egyaránt kiemelt fontosságú. Közvetlen kapcsolatot tartunk a fogorvosokkal, így a munka minden fázisában biztosított az információáramlás. Az elkészült fogpótlások nemcsak funkcionálisan kifogástalanok, hanem természetes megjelenésükkel is hozzájárulnak a páciensek magabiztosságához.
- Szakértelem és tapasztalat – Románszky László fogtechnikus mester vezetésével 23 magasan képzett szakember dolgozik azon, hogy pácienseink visszakapják a tökéletes mosoly szabadságát.
- Innováció és precizitás – Digitális gépparkunk, 3D nyomtatóink és robotizált marógépeink lehetővé teszik a gyors és pontos fogpótlások elkészítését.
- Egyedi megoldások – Az esztétikai és funkcionális igényekhez igazodva 47 különböző fogformából választhatnak pácienseink.
- Szoros együttműködés fogorvosokkal – A tökéletes végeredmény érdekében rendszeres konzultációt biztosítunk partnereinknek.
- Minőség, amelyben megbízhat – Nemzetközi színvonalú anyagokat és technológiákat alkalmazunk, laboratóriumunk pedig a világhírű japán GC cég hivatalos pilot laboratóriuma.

Könnyen elérhető Budapest szívében
Laborunk Budapest frekventált részén található, így egyszerűen megközelíthető mind autóval, mind tömegközlekedéssel. A gyors átfutási idők és a rugalmas egyeztetés lehetővé teszik, hogy a fogorvosok és páciensek a lehető leghamarabb kézhez kapják a kész munkát.
Lépjen kapcsolatba velünk még ma, és tapasztalja meg, mit jelent a valódi minőség a fogtechnika Budapest területén






























